HAMPAIDEN VALKAISU
paremmin, joten tuotteisiin kannattaa perehtyä parhaan ratkaisun löytämiseksi...
SUUNHOITO: AIKUISET (18+)
Colgate-Palmoliven toteuttama kyselytutkimus* selvitti suomalaisten suuhygieniatottumuksia...
Jos suun alueelle tulee haava tai jokin muu vamma, tulee aina ottaa välittömästi yhteyttä hammaslääkäriin. Hammaslääkäri tutkii haavan tai vamman vakavuuden ja päättää mahdollisista jatkotoimenpiteistä.
Jos haljennutta tai muuten vahingoittunutta hammasta särkee, voi kipuun ottaa särkylääkettä. Jos mahdollista, tulisi hampaasta irronnut pala ottaa mukaan hammaslääkärille.
Jos hammas on kokonaan irronnut, tulisi se laittaa välittömästi esimerkiksi maitoon tai veteen ja ottaa mukaan hammaslääkärille. Usein irronnut pysyvä hammas voidaan istuttaa takaisin suuhun.
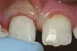
Hampaasta irronnut pala - Jos hammasta ei särje eikä irronnut pala ole kovin suuri ei hoidolla ole välitöntä kiirettä. Hoidoksi saattaa riittää, että pinta vain hiotaan tasaiseksi. Irronneen palan ollessa suurempi, voidaan se paikata entisen muotoiseksi.
Haljennut tai murtunut hammas - Haljennut tai murtunut hammas tulisi hoitaa välittömästi vakavempien vaurioiden välttämiseksi.
![]() | Haljennut etuhammas |
![]() | Haljennut etuhammas |
![]() | Irti lähtenyt pysyvä hammas |
![]() | Irronnut hammas tulee asettaa varovasti takaisin paikoilleen ja mennä heti hammaslääkärille |
SUUNTERVEYDEN TESTI
Tee suun terveydentilan arviointi, jotta saat parhaan mahdollisen hyödyn suunhoitorutiineistasi
SUUNTERVEYDEN TESTI
Tee suun terveydentilan arviointi, jotta saat parhaan mahdollisen hyödyn suunhoitorutiineistasi
Yhä useammat ammattilaiset ympäri maailman luottavat Colgateen. Tutustu resursseihin ja tuotteisiin, joiden avulla voita auttaa potilaitasi saavuttamaan terveemmän tulevaisuuden



